INTRODUCCIÓN
Las imágenes del hombro son una investigación común solicitada en pacientes que presentan dolor en el hombro y discapacidades funcionales. Una amplia variedad de etiologías, desde patologías del manguito de los rotadores hasta tendinosis calcificante, sinovitis, artritis acromioclavicular y radiculopatía cervical, pueden provocar síntomas similares. La artrografía de hombro y la resonancia magnética nuclear han sido las modalidades de diagnóstico por imágenes que se usan comúnmente para distinguir entre estas afecciones.[1-2] investigación entre la batería de pruebas diagnósticas disponibles.[3]
El conocimiento de las técnicas óptimas, la anatomía normal, las maniobras dinámicas y las condiciones patológicas es esencial para la interpretación y la ecografía correctas.[4] La ecografía del hombro debe seguir estrictamente el protocolo de obtención de imágenes. [5] La comparación entre el lado dañado y el contralateral puede ayudar a llegar a conclusiones diagnósticas.
Este ensayo pictórico tiene como objetivo ilustrar el rendimiento técnico, la anatomía normal y las principales patologías relacionadas con el manguito de los rotadores y más allá, así como las dificultades en el examen ecográfico del hombro.
Protocolo de actuación y anatomía normal
Los modernos sistemas de EE. UU., que ofrecen transductores de matriz lineal multifrecuencia de alta resolución que van desde 4 a 7, 3 a 9, 5 a 12 y 5 a 17 MHz, y capacidades Doppler color, permiten una definición óptima de las estructuras anatómicas. Se pueden demostrar claramente la superficie ósea, los tendones, las bursas, los ligamentos y los músculos. Se propone un protocolo de lista de verificación para un examen ecográfico sistemático del hombro [Tabla 1].
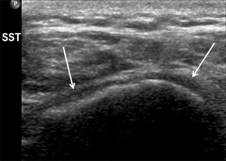
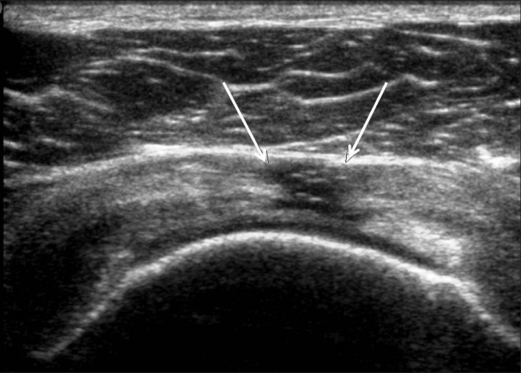
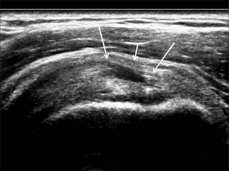
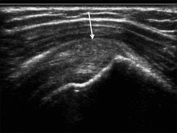
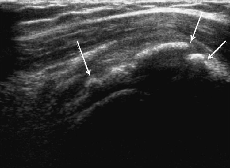
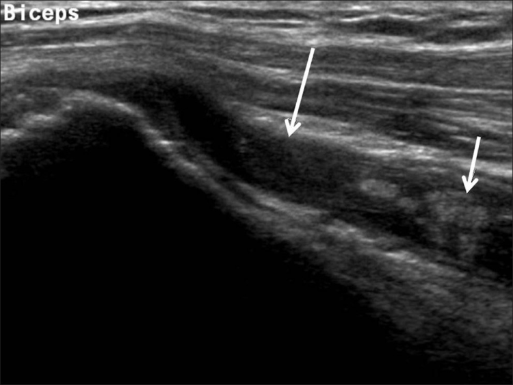
La ecografía del hombro comienza examinando el surco bicipital (BG) y la cabeza larga del tendón del bíceps braquial. El paciente está sentado frente al operador en una posición neutra, su mano colocada con la palma hacia arriba sobre el muslo. Se realiza una imagen de eje corto colocando el transductor sobre la metáfisis humeral proximal perpendicular al húmero. La imagen del eje largo del tendón se obtiene girando el transductor a una posición paralela a la diáfisis humeral [Figura 1]. Luego, se examina el tendón del subescapular. El brazo del paciente se fija sobre el flanco y el antebrazo se abduce en rotación externa. Se realizan vistas de eje largo y corto del tendón [Figura 2]. Los tendones infraespinoso y redondo menor se examinan desde una vista posterior del hombro. El paciente se gira 90°, su mano se coloca sobre el hombro opuesto y el transductor se orienta en el plano axial sobre la cabeza del húmero [Figura 3]. La articulación glenohumeral y la escotadura espinoglenoidea también se examinan en una vista posterior del hombro. El transductor ahora se mueve medial y caudalmente en el plano transversal hasta que se vea el margen posterior de la articulación glenohumeral y luego, más medialmente para mostrar la escotadura espinoglenoidea [Figura 4]. El tendón supraespinoso se escanea en una vista anterior del hombro. El paciente está sentado frente al operador. El brazo del paciente se coloca en una posición posterior, la mano dorsal en el ala ilíaca opuesta o la mano palmar en el ala ilíaca ipsilateral. Se obtienen vistas de eje largo y corto del tendón supraespinoso. Luego se realiza la exploración del manguito de los rotadores durante las maniobras dinámicas. El transductor se coloca sobre el acromion. El brazo del paciente se abduce con el codo flexionado a 90° o/y el brazo se extiende anteriormente [Figura 5]. Finalmente, se escanea la articulación acromioclavicular. La mano del paciente se coloca con la palma hacia arriba sobre el muslo. El transductor se coloca sobre la parte superior del hombro en un plano coronal [Figura 6].






Los tendones se ven como una estructura ecogénica fibrilar fina. Los examinadores deben ser conscientes de la anisotropía, un artefacto común y un peligro potencial en la ecografía de los tendones, que los hace parecer hipoecoicos cuando el ángulo del haz de ultrasonido incidente no es perpendicular al tendón. Este fenómeno se puede evitar asegurándose de que el transductor esté colocado correctamente.[5-6]
Patologías del manguito rotador
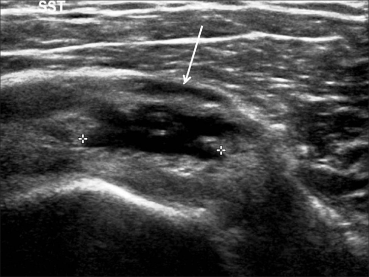
Los desgarros del manguito de los rotadores son la patología más común que se encuentra en los exámenes de ultrasonido del hombro.[7] La incidencia de lágrimas aumenta con la edad. Los desgarros de tendones se pueden clasificar de acuerdo con el grado de falla de la fibra, que van desde desgarros completos [Figura 7], desgarros de espesor total [Figuras 8, 9], desgarros de espesor parcial [Figuras 10-12] y desgarros intrasustancia [Figura 13 ]. Un desgarro agudo suele ir acompañado de derrame articular o bursal [Figura 12]. [7-9] La ausencia de derrame generalmente se relaciona con desgarros crónicos.[9] En un metanálisis sobre la precisión de la resonancia magnética, la artrografía por resonancia magnética y la ecografía en el diagnóstico de desgarros del manguito de los rotadores, la ecografía ofreció una alta sensibilidad y especificidad para la evaluación de los desgarros del manguito de los rotadores de espesor total (92,3 y 94,4 %, respectivamente) con 85,1 % y 92 %, respectivamente para todas las lágrimas.[7] El desgarro de espesor parcial aparece como un defecto o hendidura hipoecogénica en el tendón, afectando solo una parte de su espesor, mientras que un desgarro de espesor total se extiende desde la bolsa hasta la superficie articular del tendón. Un desgarro completo es un desgarro de espesor completo que afecta todo el ancho del tendón. El tendón se retrae medialmente, y la cantidad de retracción depende de la edad del desgarro. En las roturas crónicas, el tendón desaparece por debajo del arco coracoacromial, dejando la cabeza humeral descubierta por el supraespinoso, el denominado signo de la "cabeza desnuda". Los hallazgos de la ecografía incluyen la falta de visualización del tendón y la hernia del músculo deltoides. Los desgarros intrasustancia permanecen localizados en el tendón sin afectar sus márgenes. Los desgarros intrasustancia y de espesor parcial pueden ser difíciles de diferenciar de la tendinopatía focal.






Las patologías no relacionadas con desgarros del manguito rotador que se encuentran con más frecuencia son la tendinosis del manguito rotador [Figura 14], la tendinitis calcificante del manguito rotador [Figura 15] y el pinzamiento del tendón subacromial [Figura 16]. Vale la pena señalar que, en tales casos, se pueden desarrollar desgarros debido a la debilidad del tendón [Tabla 2].[79] La tendinosis o tendinopatía del manguito de los rotadores se presenta como inflamación del tendón con una ecotextura hipoecoica heterogénea del tendón. Las calcificaciones del manguito de los rotadores aparecen como focos hiperecogénicos, ya sea con una sombra posterior bien definida (Tipo I) o con una sombra tenue (Tipo II) o ausente (Tipo III). El Tipo I corresponde a la fase formativa y los Tipos II y III a la fase de reabsorción, en la que cambian a depósitos de calcio semi o totalmente líquidos. En el pinzamiento subacromial, el tendón no se desliza en el espacio subacromial durante la abducción y la elevación anterior del brazo.



Patologías del manguito no rotador
Derrame de la articulación gleno-humeral [Figura 17], derrame de la bursa subacromial-subdeltoidea [Figura 18], bursitis calcificante [Figura 19], artropatías y dislocaciones de la articulación acromioclavicular [Figura 20], rotura del tendón del bíceps [Figura 21], sinovitis [Figura 22] y la luxación [Figura 23] son las principales patologías no relacionadas con el manguito rotador que se observan en la ecografía de hombro [Tabla 3]. [8-9] La ecografía es sensible para la detección de derrame de la articulación glenohumeral y derrame bursal subdeltoideo subacromial, incluso en pequeñas cantidades. La aspiración de líquido bajo guía ecográfica permite un diagnóstico preciso. La penetración intrabursal de depósitos calcificados en el tendón provoca una bursitis microcristalina aguda y dolorosa. La subluxación o dislocación de la articulación acromioclavicular aparece como un ensanchamiento de la cavidad articular y un abultamiento de la cápsula superior y el ligamento. La rotura de la cabeza larga del tendón del bíceps braquial suele generar un bulto en la parte anterior del brazo, conocido como "signo de Popeye". La rotura del tendón suele ocurrir a nivel intrarticular con retracción distal, dejando un surco vacío. En los desgarros agudos, el muñón del tendón aparece rodeado de líquido. La luxación del tendón del bíceps medial se diagnostica con ecografías transversales, que muestran el surco bicipital y el tendón que recubre la tuberosidad menor.#dieciséis#





